Schulterprothese bei Arthrose
Wenn Gelenkverschleiß Bewegung und Lebensqualität einschränkt
Schulterprothese bei Arthrose
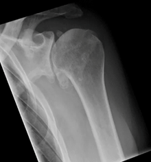
Die Schulterarthrose (Omarthrose) ist eine degenerative Erkrankung, bei der der Gelenkknorpel nach und nach abgenutzt wird. Dies führt zu Schmerzen, Bewegungseinschränkungen und einer spürbaren Minderung der Lebensqualität. Betroffene klagen häufig über typischerweise belastungsabhängige Schmerzen und eine zunehmende Bewegungseinschränkung.
Schultergelenksarthrose (Omarthrose)
Wenn konservative Therapien wie Physiotherapie, Schmerzmedikation oder Infiltrationen keine ausreichende Linderung mehr bringen, kann der Einsatz einer Schulterprothese in Betracht gezogen werden. Dabei wird das erkrankte Gelenk ganz oder teilweise durch ein künstliches ersetzt. Moderne Implantate ermöglichen eine deutliche Schmerzreduktion und verbessern die Beweglichkeit nachhaltig.
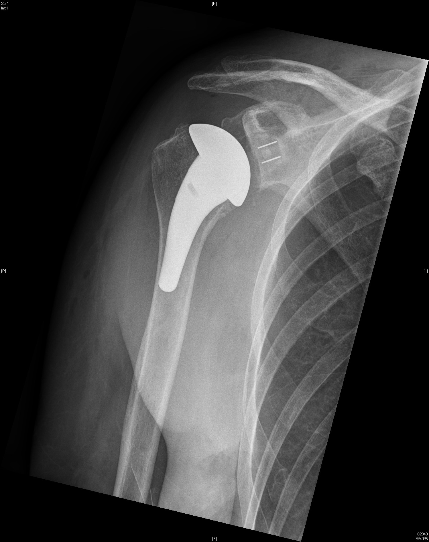
Je nach individueller Ausgangslage kommen verschiedene Prothesentypen zum Einsatz, etwa die anatomische Schulterprothese oder die inverse(umgekehrte) Prothese, die insbesondere bei zusätzlichen Schäden an der Rotatorenmanschette geeignet ist. In jedem Fall steht eine präzise Diagnostik und eine individuell abgestimmte Therapieplanung im Vordergrund.
Wenn Sie unter chronischen Schulterschmerzen aufgrund einer Arthrose leiden, beraten wir Sie gerne zu den Möglichkeiten eines Gelenkersatzes. Wir begleitet Sie von der Entscheidung über den Eingriff bis zur erfolgreichen Rehabilitation.
Anatomische Schulterprothese
Umgekehrte (Inverse) Schulterprothese

DE 